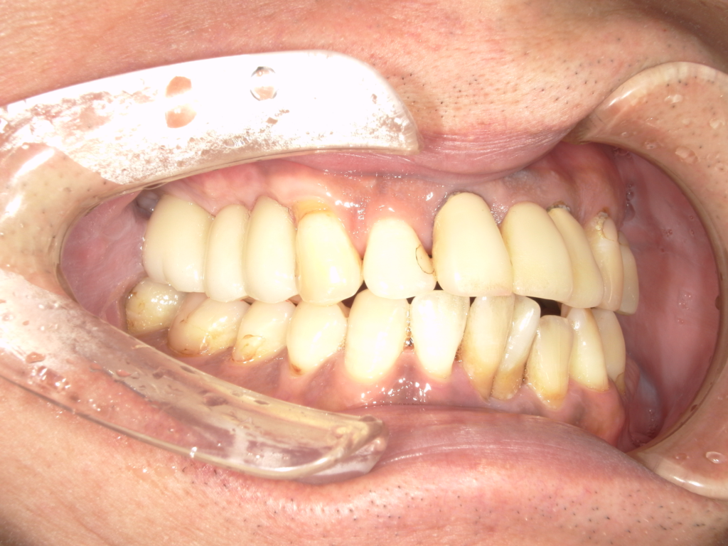
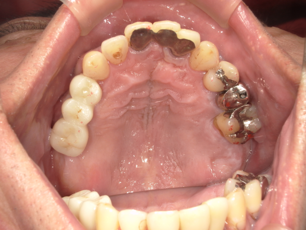
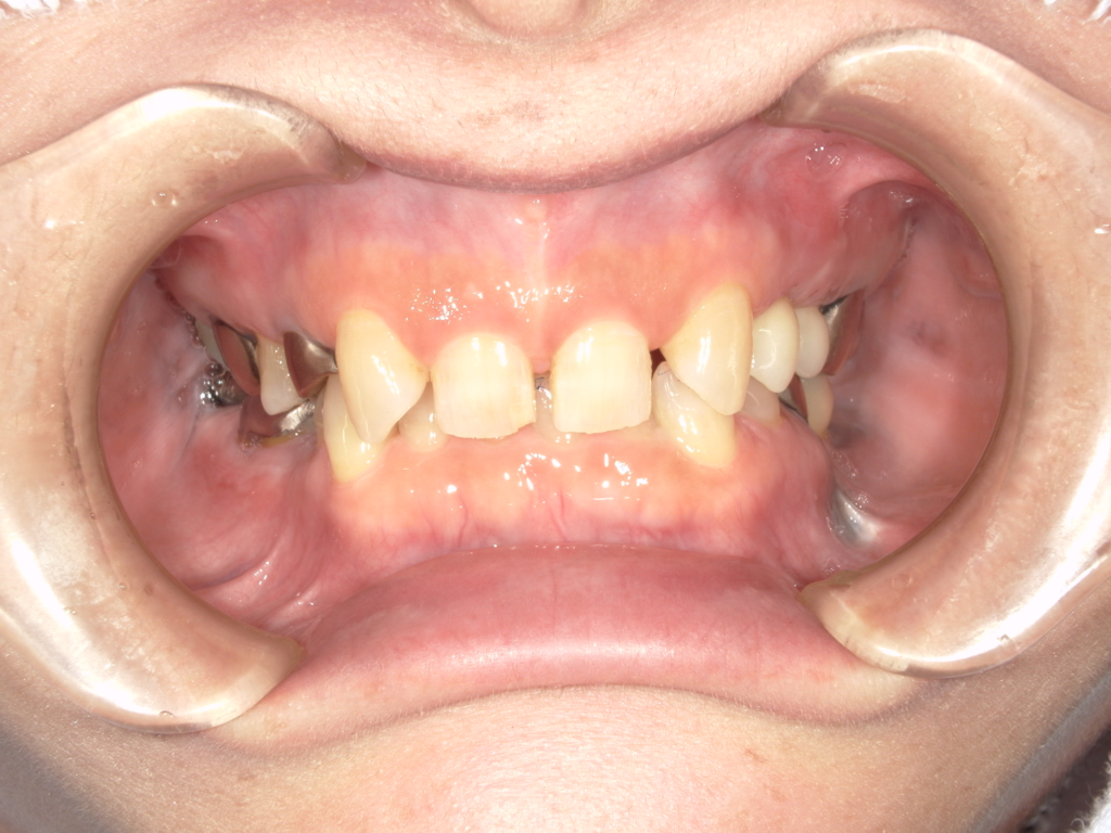
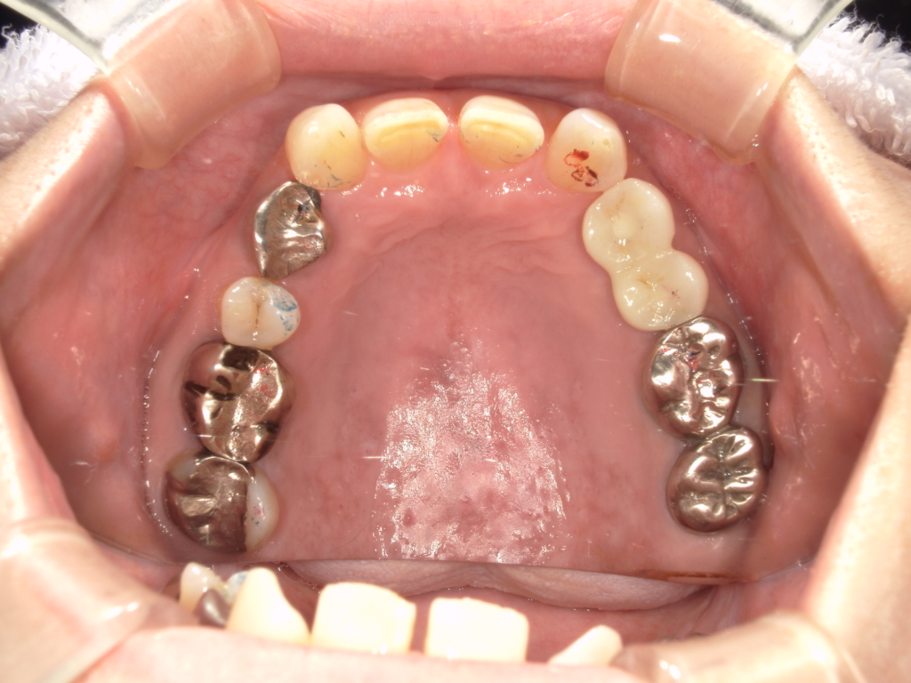
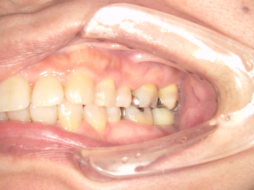
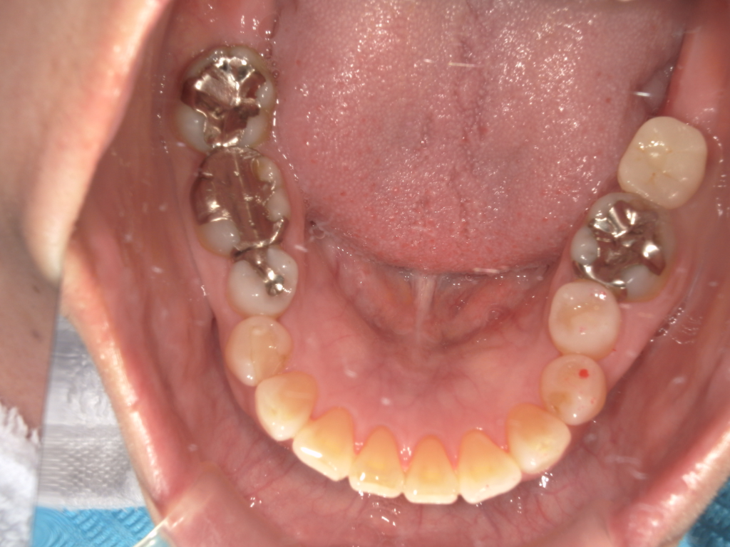
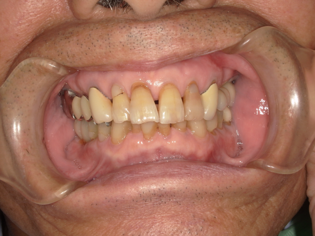
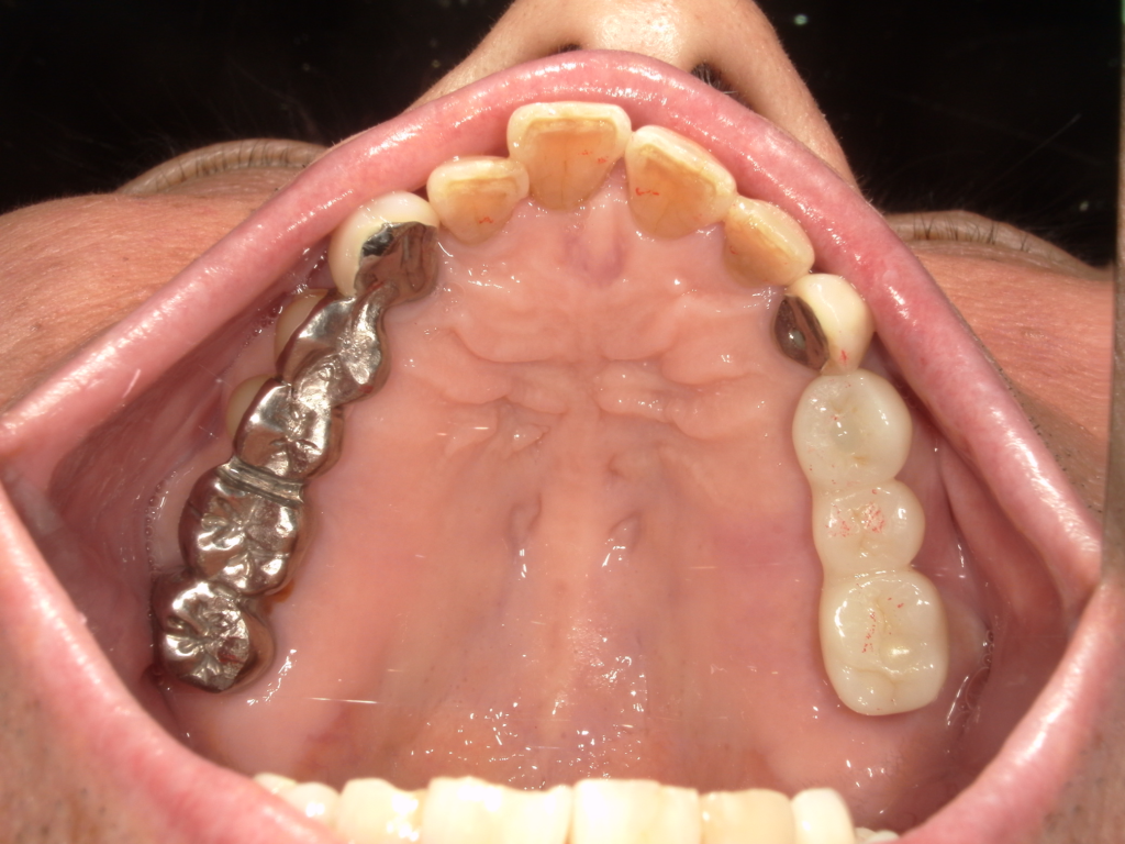
Y様インプラント実例 #51
治療前



治療後




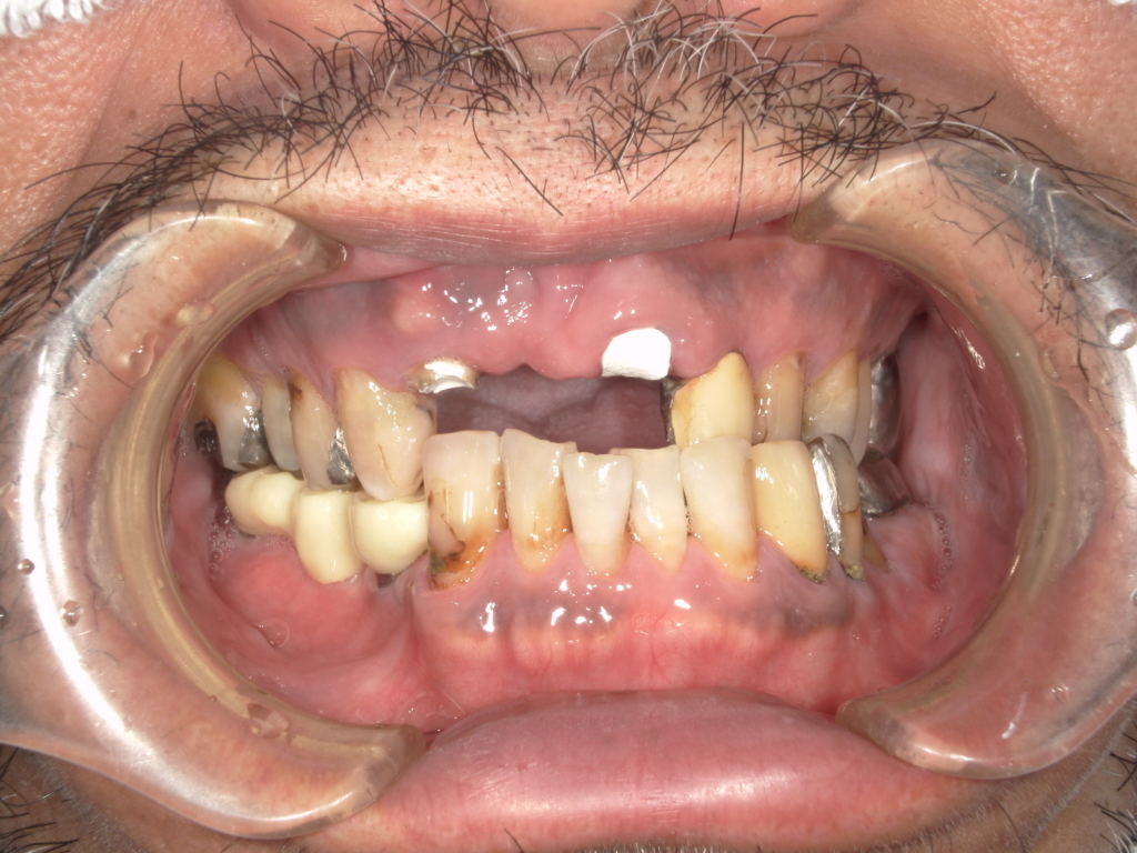
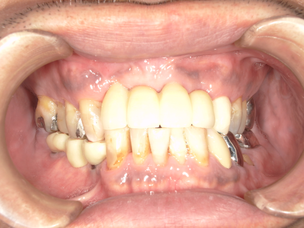
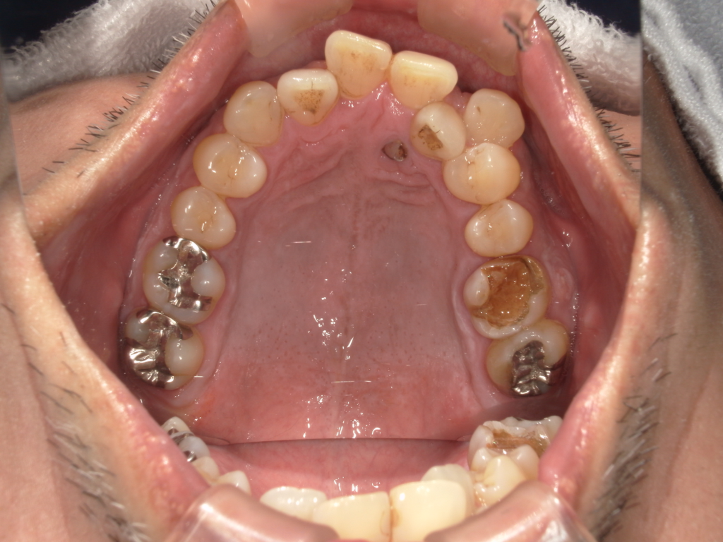
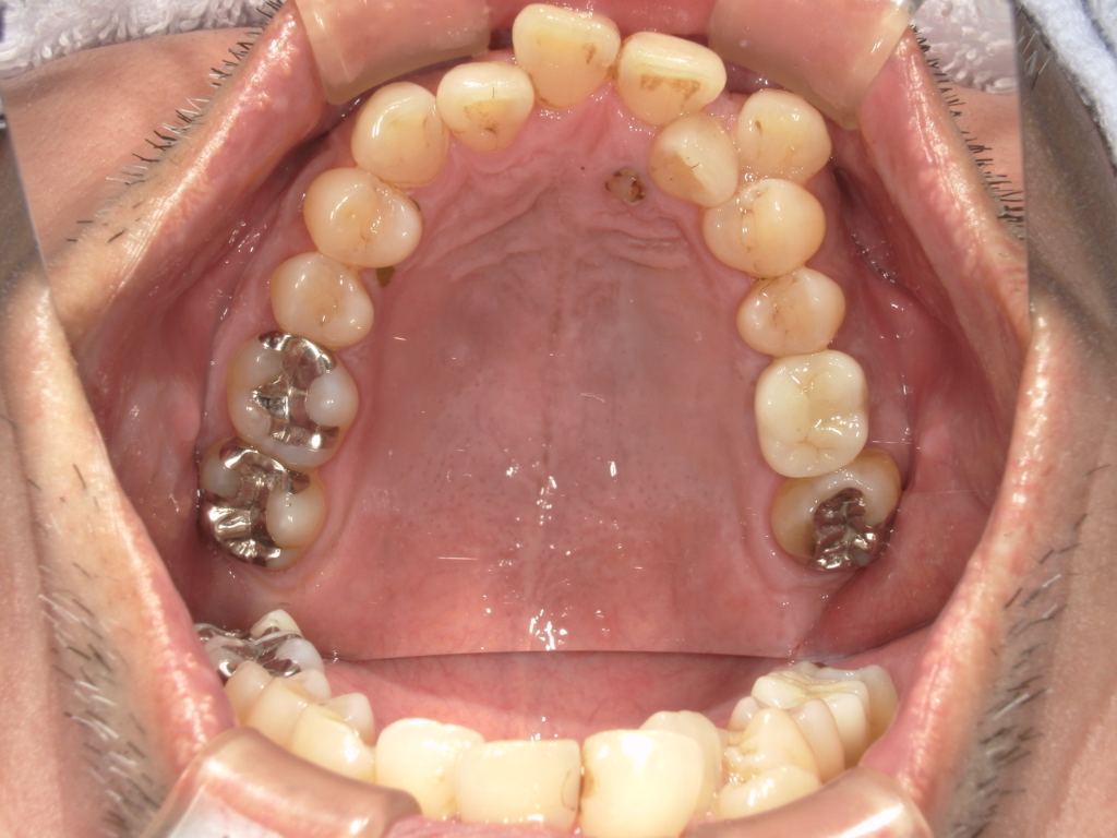
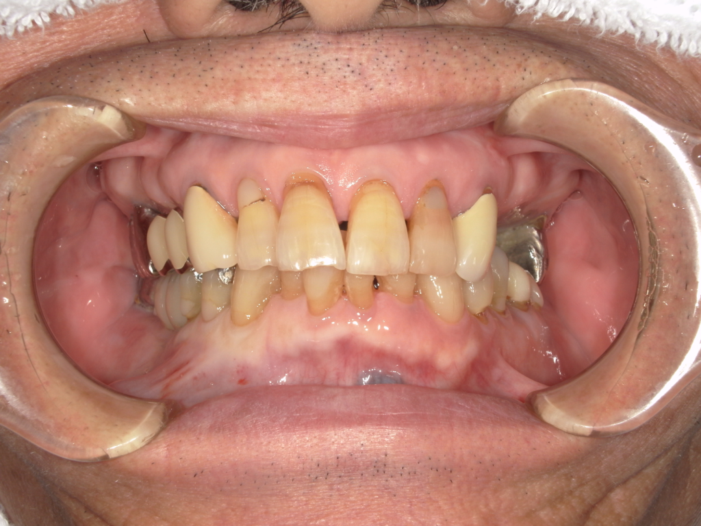
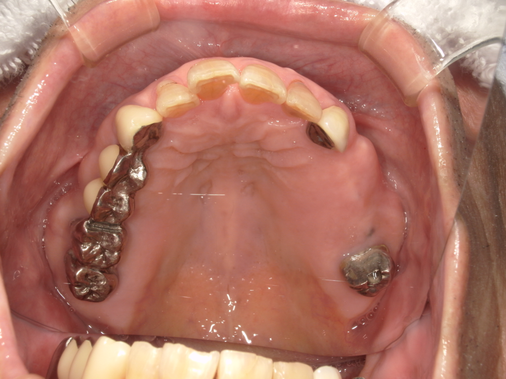
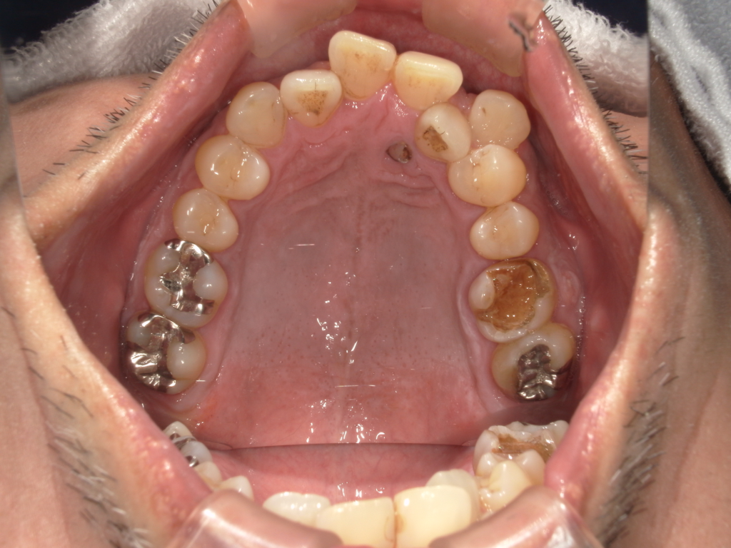
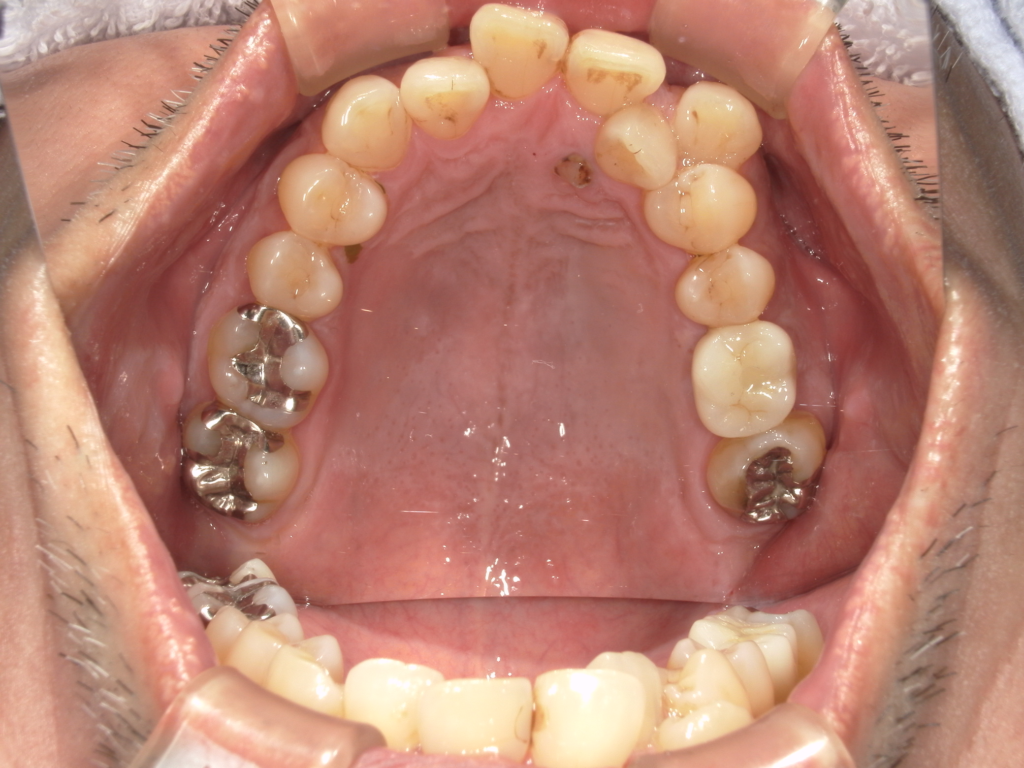
U様インプラント実例 #50
治療前



治療後




T様インプラント実例 #49
治療前




Y様インプラント実例 #48
治療前



治療後




S様 インプラント実例 #47
治療前




治療後





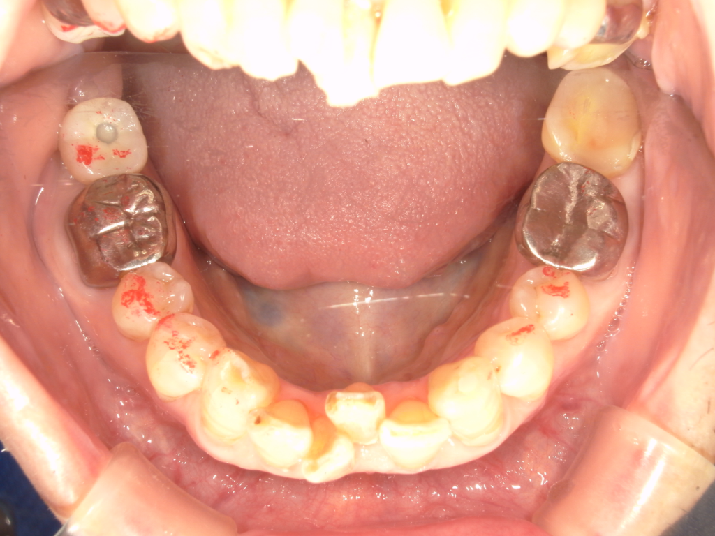
I様 インプラント実例 #46
治療前




治療後





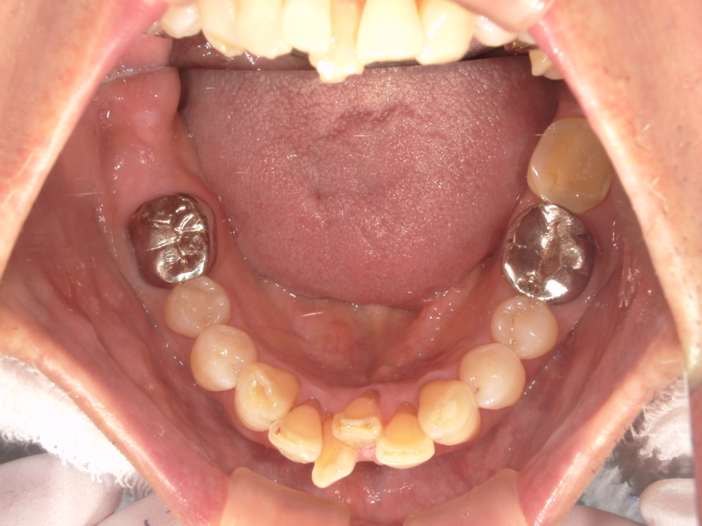
M様インプラント実例 #45
治療前



治療後




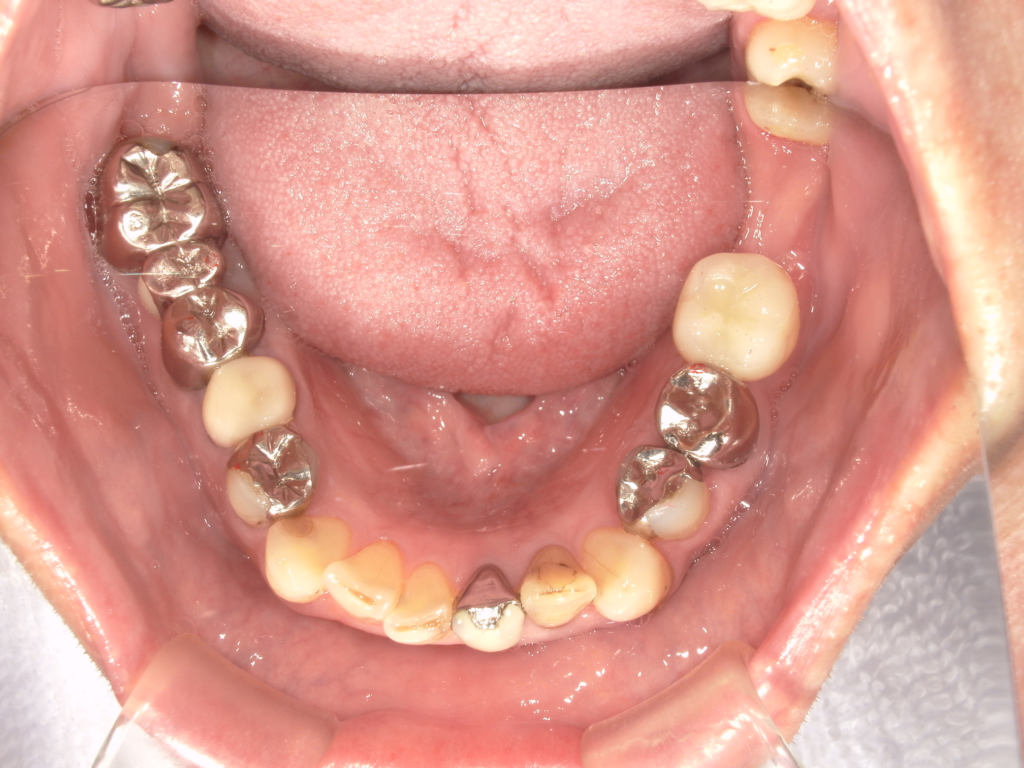
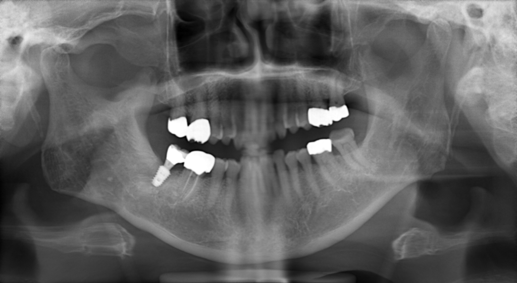
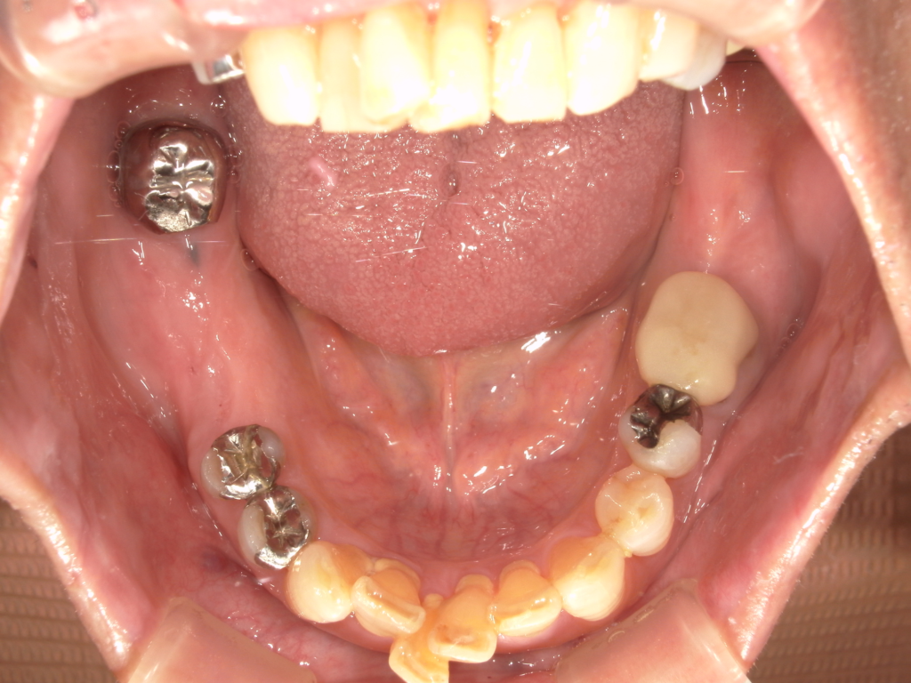
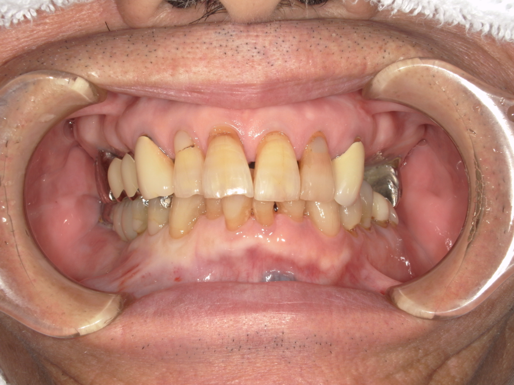
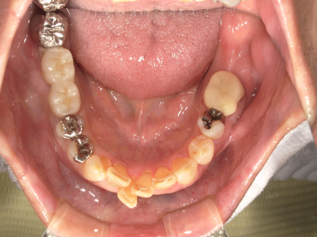
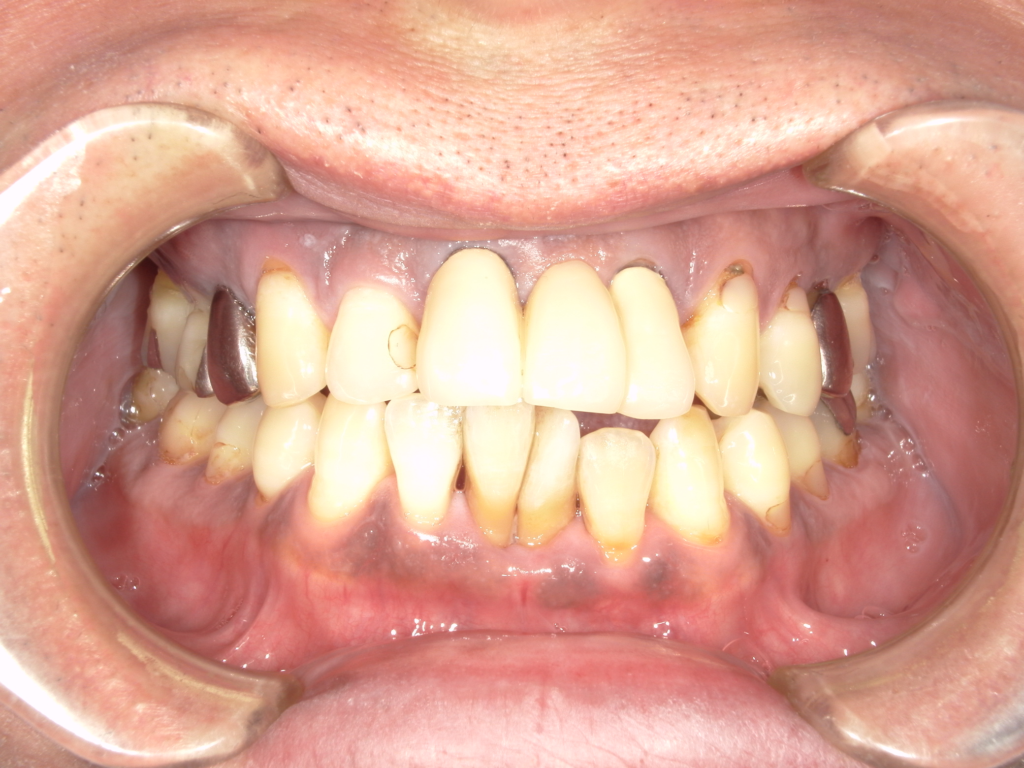
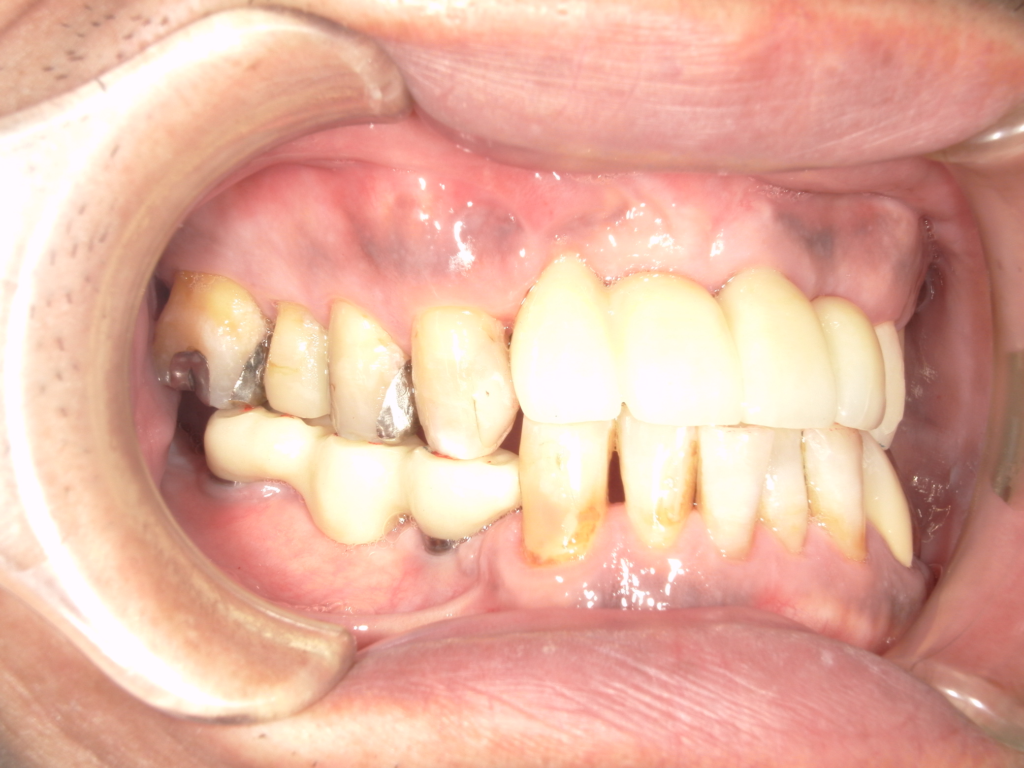
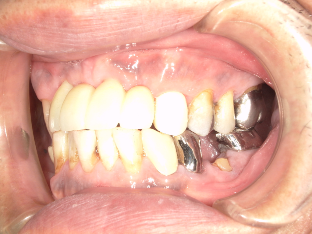
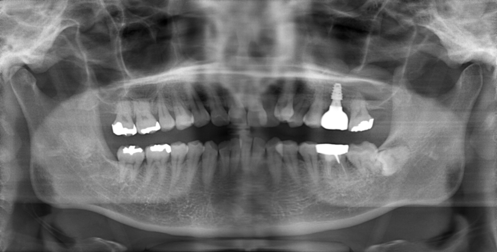
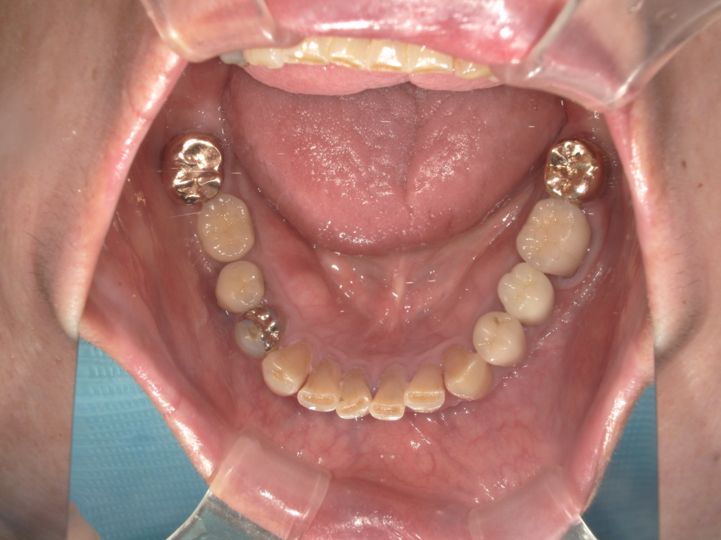
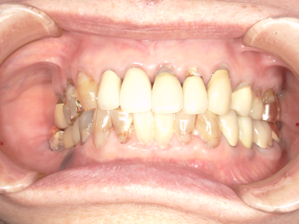
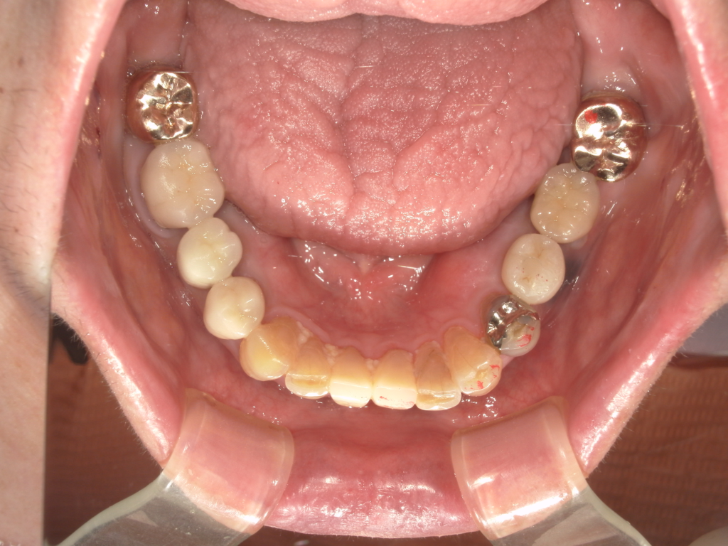
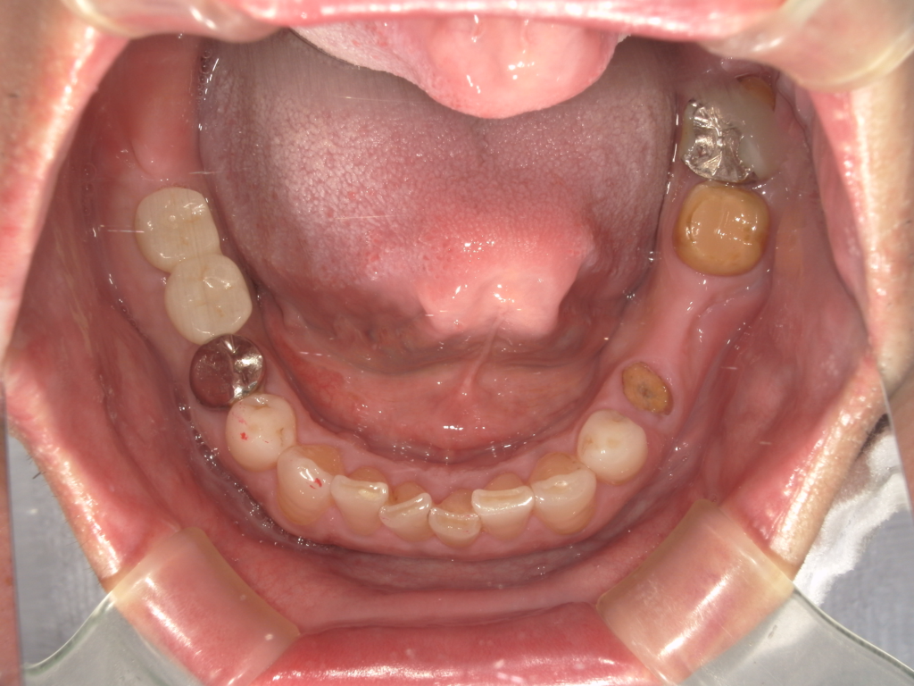
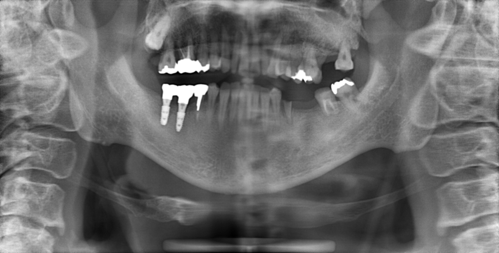
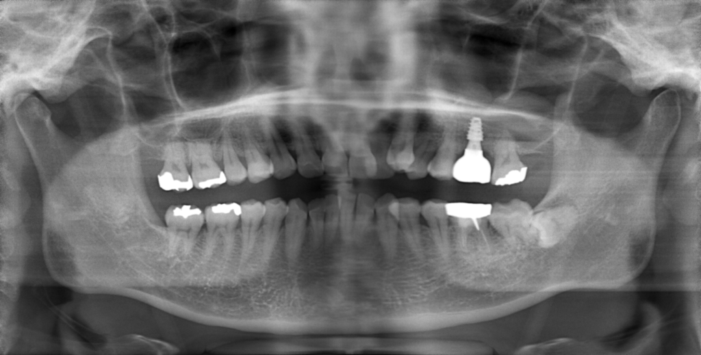
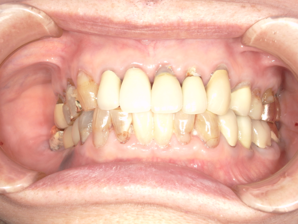
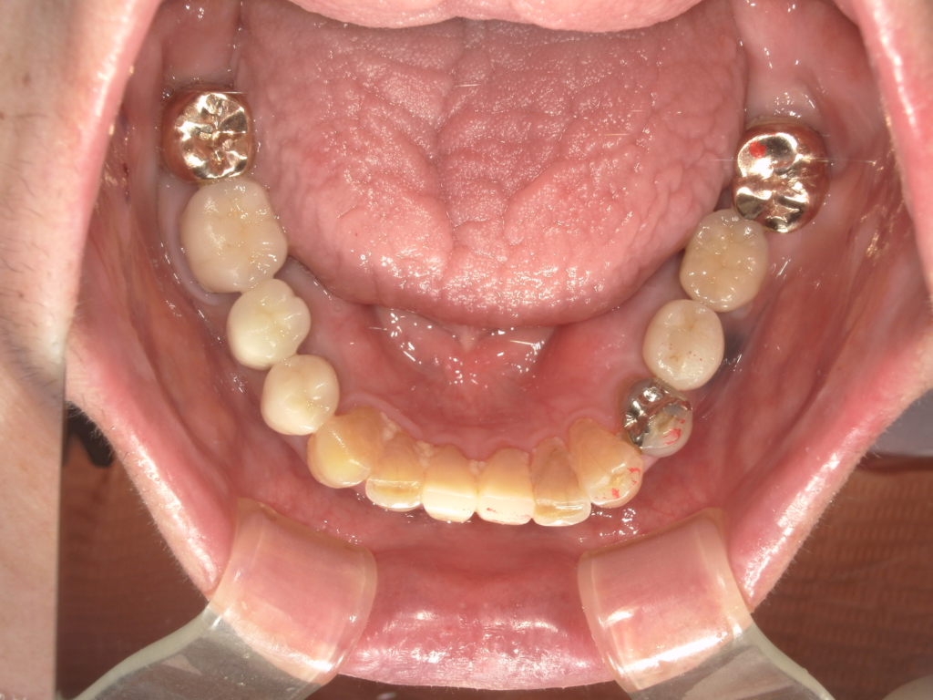
Y様インプラント実例 #44
左の上下の奥歯をインプラントで治療しています。
左下の奥歯は歯を抜くのと同時にインプラントの埋め込みを行っています。
被せものは上下、セラミックスで作っています。
治療前



治療後



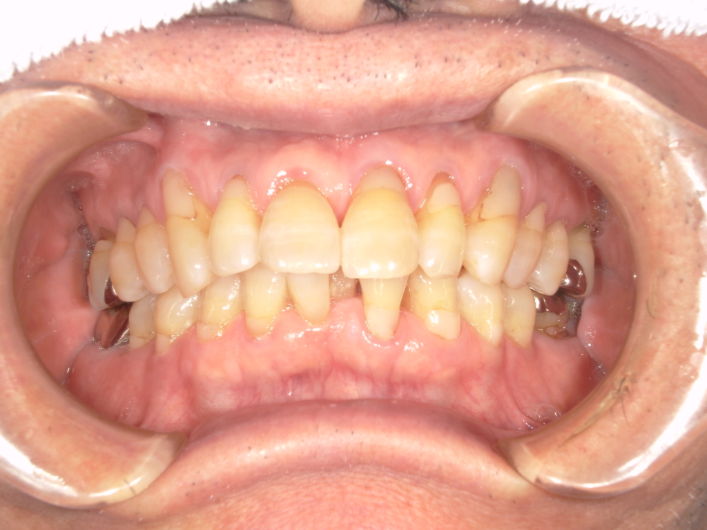
芝西歯科医院(川口市/蕨駅)では、多様なインプラント治療を行い、実際の患者様の症例を通してその実績を紹介しています。上顎洞を持ち上げるソケットリフト、セラミックスを使用した審美的な被せ物、仮歯を使用しながらの治療など、個々の患者様の症状に応じた最適な治療法を提供。多くの患者様がインプラントによって、噛む機能や審美性を取り戻しています。患者様の笑顔を支える、安心で質の高いインプラント治療をご紹介します。
F様 60代 女性 インプラント実例 #43
左下の奥歯をインプラントで治療しました。歯茎が、少なかったので、歯ぐきを増やす処置を行い、その後インプラントを埋入しています。上部構造物は、セラミックスで作っています。
治療前



治療後




W様 50代 女性 インプラント実例 #42
左下の奥歯にインプラント治療を行いました。歯茎が薄く少なかったので、歯茎を増やす処置を行い、インプラントを埋入しています。被せ物は、セラミックスで作っています。
治療前



治療後




T様 80代 男性 インプラント実例 #41
右下奥歯がなくなってしまったということて、噛みにくいので、歯が欲しいということで、来院されました。骨が少なかったため、インプラントを埋入する際に骨を作り、埋入のオペを行いました。少し時間(3ヶ月をおいて)骨ができていることを確認して、被せ物を入れました。被せ物はセラミックで作っています。
治療前



治療後




N様 40代 男性 インプラント実例 #40
右下奥歯がなくなってしまったということて、噛みにくいので、歯が欲しいということで、来院されました。骨が少なかったため、インプラントを埋入する際に骨を作り、埋入のオペを行いました。少し時間(3ヶ月をおいて)骨ができていることを確認して、被せ物を入れました。被せ物はセラミックで作っています。
治療前



治療後




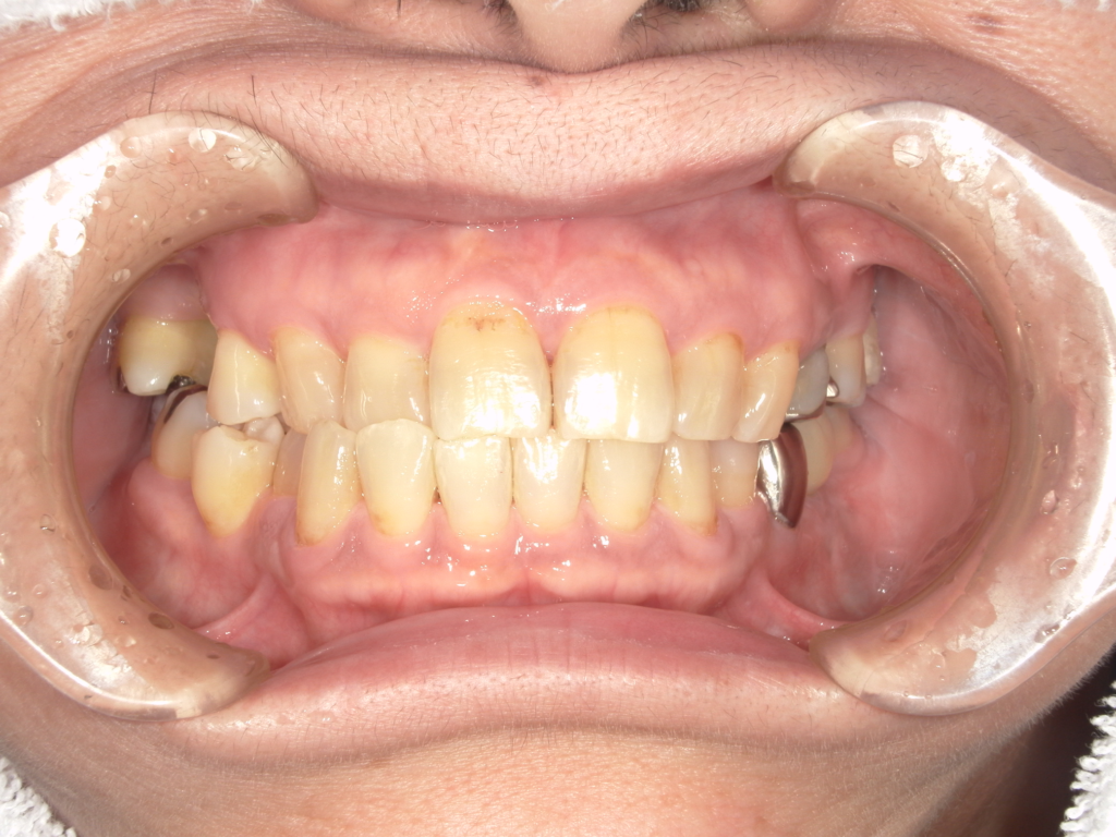
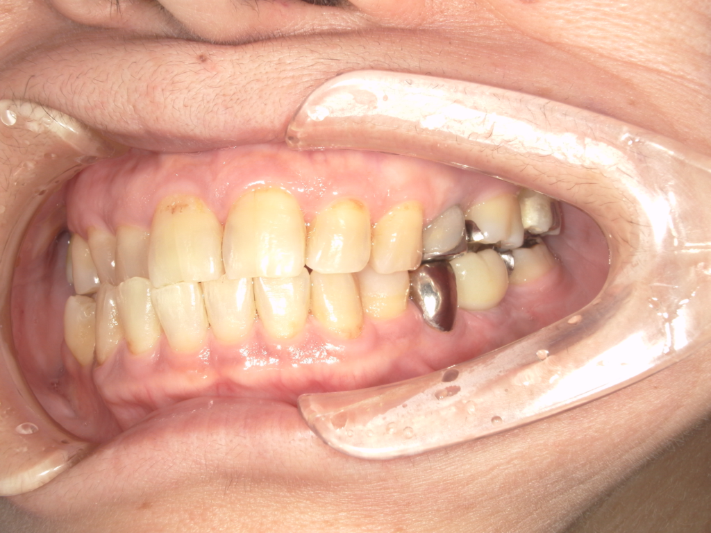
N様 80代 男性 インプラント実例 #39
主訴は、右下で食べられる様になりたい。右下に2本インプラントを埋入しました。2月後、被せ物を入れました。セラミックで作っています
治療前



治療後




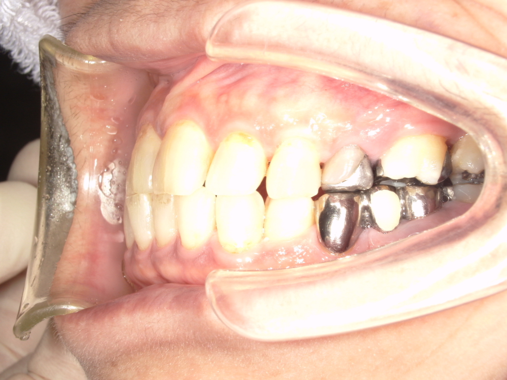
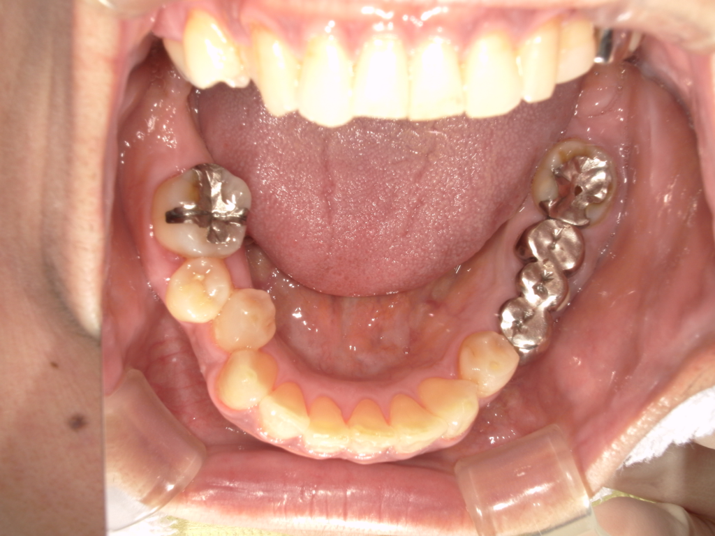
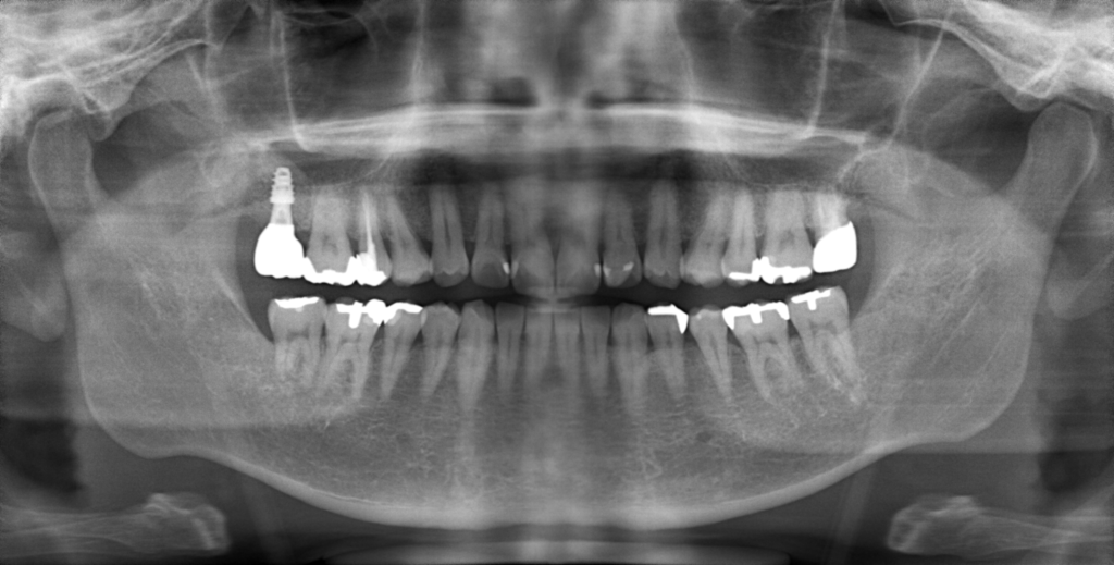
N様 50代 男性 インプラント実例 #38
右上に2本インプラントを、埋入して、ブリッジタイプで、被せ物を、作っています。手前の歯は。歯をとると同時にインプラントを入れています。
奥歯の方は、上顎洞粘膜を、挙上してインプラントを埋入しています。被せ物は、セラミックスで3歯作っています。
治療前



治療後




N様 50代 男性 インプラント実例 #37
前歯の4本が、残すのが難しい状況となり、インプラント治療を行いました。
インプラントは前歯に2本埋入し、4本の前歯を作っています。歯を抜くと同時にインプラントを埋入し、仮歯を作りました。その後2ヶ月で、被せ物を入れました。被せ物は、セラミックスで作っています。
治療前




治療後





O様 40代 男性 インプラント実例 #36
左上の犬歯から奥歯にかけて2本が保存不可能になりました。抜歯すると同時にインプラントを2本埋入しています。被せ物はセラミックスで作っています。
治療前



治療後




Y様 50代 男性 インプラント実例 #35
左上の奥歯に1本、インプラントを埋入しました。埋入時にソケットリフトを行い、上顎洞底を、持ち上げて、インプラントを埋入しています。被せ物はセラミックで作っています。
治療前



治療後




Y様 80代 インプラント実例 #34
右下奥から3番目にインプラントを埋入しました。歯を抜くと同時にインプラントを埋入しました。抜歯即時埋入を行いました。被せ物はセラミックスで作っています
治療前



治療後




K様 40代 インプラント実例 #33
右下にインプラントを2本埋入しています。
被せ物はセラミックスで作っています
治療前



治療後




F様 インプラント実例 #32
治療前



治療後



N様 インプラント実例 #31
治療前



治療後



Y様 インプラント実例 #30
治療前



治療後




Y様 インプラント実例 #29
治療前



治療後




H様 インプラント実例 #28
左右の上顎にインプラントを埋入しました。左下にインプラントを埋入しました。上部構造物は、全てセラミックで作ってあります。
治療前




治療後





N様 インプラント実例 #27
右上の前歯と奥歯の間に、歯を抜くと同時にインプラントを埋入しました。被せ物はセラミックスで作っています。
治療前



治療後




K様 インプラント実例 #26
右上の奥歯にインプラントを、一本埋入しました。上顎洞粘膜を挙上して、(ソケットリフト)を行い、インプラントを埋入しています。上部構造物は、セラミックスで作成しています
治療前



治療後




K様 インプラント実例 #25
上の前歯4本をインプラント治療で治しています。前歯4本を抜歯して、真ん中の歯に2本インプラントを埋入しています。抜歯したと同時に仮歯(前歯4本)を作りました。最終な上部構造物は、セラミックスで仕上げています
治療前




治療後





N様 インプラント実例 #24
治療前





治療後





T様 インプラント実例 #23
治療前



治療後




K様 インプラント実例 #22
治療前



治療後




Y様 インプラント実例 #21
治療前



治療後




N様 30代女性 インプラント実例 #20
左上犬歯の一つ後ろの奥歯が割れてきたので、抜歯してインプラント処置となりました。歯を抜くと同時にインプラントを埋入して、約2か月で治療終了です。
セラミックにてかぶせものは作っています。
治療前



治療後



M様 40代女性 インプラント実例 #19
上の真ん中の歯が2本割れてきたため、インプラントにて修復しました。矯正治療と組み合わせての処置を考えましたが、患者さんが希望ししなかったためインプラント処置のみで対応しました。前歯を2本ぬいて、インプラントで治療しています。かぶせものはセラミックで作っています。
治療前




治療後




T様 60代女性 インプラント実例 #18
右下の奥歯をかめるようにしたいとのことで、インプラント治療を希望しました。2本インプラントを埋入しています。かぶせものはセラミックで作っています。治療期間は2か月半くらいです。写真の青い点はかみ合わせをチェックした点が残っています。自然にきれいに消えます。
治療前



治療後



M様 50代女性 インプラント実例 #17
左上の一番奥歯がかめるようにしたいとのことで、インプラント治療となりました。上顎洞(副鼻腔)にインプラントが抜けますので、ソケットリフトを行いインプラントを埋入しています。一本埋入ですが、かなりかめるようになったと患者さんはおっしゃていました。かぶせものはセラミックで作っています。
治療前



治療後



M様 70代男性 インプラント実例 #16
少しわかりにくいですが右上の奥歯がわれてしまったのと、膿んでしまったので、保存できない状態です。インプラント治療を希望なさったので、抜歯して2本インプラントを埋入しました。上顎洞(副鼻腔)までの骨の距離が少なく、どちらもソケットリフトをおこないインプラントを埋入しています。かぶせものは2本連結で、セラミックスで作っています。反対の左上の奥歯の虫歯は、患者さん希望もありゴールドにて修復しています。
治療前



治療後



K様 50代男性 インプラント実例 #15
左下奥歯がわれてしまい、抜歯となりました。かみにくいということで、インプラント治療希望となりました。一本インプラントを埋入して、セラミックスのかぶせものを作っています。
治療前



治療後



S様 左上 インプラント実例 #14
左上のの奥歯に一本インプラントを埋入しました。
上顎洞が非常に近かったので、上顎洞を、持ち上げる処置(ソケットリフト)を。行い、インプラントを埋入しています。上部構造物は、セラミックスです
治療前



治療後



Y様 下奥歯 インプラント実例 #13
左下奥歯にインプラント埋入しました。セラミックスで被せ物を、作っています
治療前



治療後



Y様 左上 インプラント実例 #12
左上の奥歯に2本インプラントを埋入しました。
手前のところは、抜歯すると同時にインプラントを埋入しています。
2本のインプラントで、3本の歯を作っています。
被せ物はセラミックスで作っています。
治療前



治療後



Y様 右下 インプラント実例 #11
右下奥歯に、一本インプラントを埋入しました。
上の奥歯がかなりありましので、奥歯2本埋入をすすめましたが、患者さんと話し合って、一本埋入でいくことになりました。セラミックスで上部構造物は作っています
治療前



治療後



N様 インプラント実例 #10
こちらの患者さんは、右下の歯が大変膿んだ状態のため、歯を抜いて、骨を作る処置を行いました。その後、半年くらい待って骨がしっかりできてから、インプラントを2本埋入して、治したケースです。被せ物は、セラミックスで作っています
治療前



治療後



T様 右下 インプラント実例 #9
右下の、奥歯に、インプラントを3本埋入しました。
セラミックスで、4本の歯を作っています。
治療前



治療後



H様インプラント実例 #8
右上に他医院さんのインプラントが一番奥に入っていました。手前(犬歯の奥)にインプラントを埋入して、インプラント治療を行いました。インプラントメーカーが手前を奥で違いましたのでAGCという特殊なかぶせものをしています。セラミックスでかぶせものを作っています。
治療前



治療後



O様インプラント実例 #7
右下奥歯を虫歯でなくしてしまった患者さんです。頬側の骨が少なかったので、頬側に骨を少量作りまして、インプラント埋入しています。かぶせものはセラミックスで治しています。
治療前



治療後



N様インプラント実例 #6
左下にインプラントを2本埋入しています。2本のセラミックスを連結して、かぶせています。少し白っぽく見えますのがインプラントの上部構造物(かぶせものです。)
治療前



治療後



C様インプラント実例 #5
歯周病にて左下奥歯を失ってしまった患者さんです。左下奥歯に一本インプラントを埋入しました。セラミックスでかぶせものを作っています。
治療前



治療後



T様インプラント実例 #4
こちらの患者さんは、前歯かなくて、仮の歯をくっつけている状態てました。しっかりした前歯が欲しいということで、インプラント治療となりました。インプラントを埋入して、2月くらいで被せ物を入れて終了です。2ヶ月は、仮歯を左右の歯にくっつけて、過ごしてもらいました。
治療前


治療後


H様インプラント実例 #3
右上に一本インプラント埋入しています。下も奥歯がなく奥歯をつく予定がなかったため上に一本だけの埋入としました。骨が少なかったため、頬側に骨を作ってからインプラントを埋入しています。かぶせものはセラミックスで治療しています。
治療前


治療後


O様インプラント実例 #2
右上の奥歯の根の先に大きな膿ができて、抜歯になりました。その後インプラントで治療しています。サイナスリフト(上顎洞粘膜挙上術)を行いインプラントの埋め込みを、行っています。被せものはセラミックスです。
治療前



治療後



T様インプラント実例 #1
術前の写真は途中まで治療が進んでいまして、インプラントの仮歯が入っている状態です。
上の前歯4本をインプラントで治療しています。
被せものは全てセラミックスで治しています。
治療前



治療後



右下に2本埋め込みの手術
右下のインプラントオベになります。歯茎を切開して、ホールを、適切な位置に形成してインプラントの埋め込みを行っています。オペ中は全て滅菌操作となります。







左上の犬歯が虫歯で悪くなってしまい、歯を抜くと同時にインプラントを埋め込んでいます。
3か月ほどでセラミックスの被せものをいれています。(被せものが入るまではインプラントの仮歯)を使ってもらいました。インプラントが入ってからは、左上の奥歯の揺れはなくなりました。